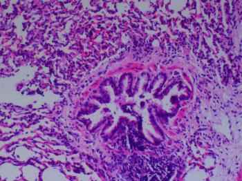
一、HE染色:
(1)实验目的:主要用于显示各种组织正常成分及病变的一般形态结构,是生物学、组织学、病理学及细胞学等学科必不可少的最基本的常规染色方法。在病理诊断、教学与科研中广泛应用,具有重要价值。
(2)实验原理:细胞中的细胞核是由酸性物质组成,它与碱性染料(苏木素)的亲和力较强,而细胞浆则相反,它含有碱性物质与酸性染料(伊红)的亲和力较大。因此,组织且配备经HE染色后,细胞核被苏木素染成蓝色,细胞浆、肌纤维、胶元纤维等染成不同程度的红色,红细胞则呈橙红色。
(3)实验材料:
试剂:苏木素-伊红染液、光学显微镜、染缸、玻片、滴管、秒表、记号笔等
实验内容与方法:
1、哄片、脱蜡
2、水化
3、苏木素染色
4、分化
5、伊红染色
6、脱水透明
7、封片。
客户提供实验信息:
1、实验信息(客户提供):
样本名称与来源: 样本数量:_________
2、 实验材料提供:
冰冻组织样品需超低温保存
贴壁细胞必须爬片,本市可以上门取样后我们来固定,外地必须固定后再送样。悬浮细胞可充液或涂片固定好以后寄送
石蜡包埋组织可包埋后或固定好以后寄送
(5)服务周期:(2周,根据样本数量而定)
(6)结果提交:提交实验报告书(包括实验材料、试剂、仪器、实验过程方法、结果及分析)、原始数据、图片,文本或电子版。
实验范例:

(1)实验内容:取材、固定、洗涤和脱水、透明、浸蜡、包埋、切片与粘片。
(2)样本准备:客户提供样本。
(3)服务期限:2周(视样品数定)
(4)提交结果:石蜡切片真实数据结果。
(1)实验内容:取材、速冻、固定、切片。
(2)样本准备:客户提供样本。
(3)服务期限:2周(视样品数定)
(4)提交结果:冰冻切片真实数据结果。
四、普通包埋
(1)实验内容:组织包埋是将客户组织标本通过固定,取材,脱水等过程后,用石蜡作为包埋剂,将组织标本包埋在石蜡中。
(2)服务流程:组织石蜡包埋切片实验步骤 。
①鲜组织固定于4%多聚甲醛24h以上。将组织从固定液取出在通风橱内用手术刀将目的部位组织修平整,将修切好的组织和对应的标签放于脱水盒内。
②脱水:将脱水盒放进吊篮里于脱水机内依次梯度酒精进行脱水。75%酒精4h-85%酒精2h-90%酒精2h-95%酒精1h-无水乙醇I 30min-无水乙醇II 30min-醇苯5-10min-二甲苯I 5-10min-二甲苯II 5-10min-蜡I 1h-蜡II 1h-蜡III 1h。
③包埋:将浸好蜡的组织于包埋机内进行包埋。先将融化的蜡放入包埋框,待蜡凝固之前将组织从脱水盒内取出按照包埋面的要求放入包埋框并贴上对应的标签。于-20°冻台冷却,蜡凝固后将蜡块从包埋框中取出并修整蜡块。
④ 切片:将修整好的蜡块置于石蜡切片机上切片,片厚4μm。 切片漂浮于摊片机40℃ 温水上将组织展平,用载玻片将组织捞起,并放进60℃ 烘箱内烤片。待水烤干蜡烤化后取出常温保存备用。
(3)服务期限:2周(视样品数定)。
(4)提交结果:包埋真实数据结果。
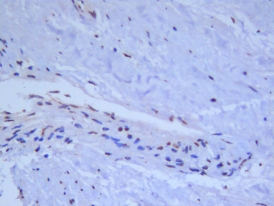
五、免疫组化
免疫组化,是应用免疫学基本原理——抗原抗体反应,即抗原与抗体特异性结合的原理,通过化学反应使标记抗体的显色剂(荧光素、酶、金属离子、同位素)显色来确定组织细胞内抗原(多肽和蛋白质),对其进行定位、定性及相对定量的研究,称为免疫组织化学技术(immunohistochemistry)或免疫细胞化学技术(immunocytochemistry)。
服务流程
1. 实验结果图片处理及数据化
3. 根据SCI标准进行Figure制作
实验结果案例图片如下:
六、免疫荧光
免疫荧光细胞化学是根据抗原抗体反应的原理,先将已知的抗原或抗体标记上荧光素制成荧光标记物,再用这种荧光抗体(或抗原)作为分子探针检查细胞或组织内的相应抗原(或抗体)。在细胞或组织中形成的抗原抗体复合物上含有荧光素,利用荧光显微镜观察标本,荧光素受激发光的照射而发出明亮的荧光(黄绿色或桔红色),可以看见荧光所在的细胞或组织,从而确定抗原或抗体的性质、定位,以及利用定量技术测定含量。
服务流程
1. 实验结果图片处理及数据化
2. 根据SCI标准进行Figure制作
实验结果案例图片如下:


